Radiology Review

Woman With Hip Pain After Car Accident

Author and Disclosure Information


A 55-year-old woman is transferred to your facility with injuries sustained in a motor vehicle collision. She was an unrestrained front-seat passenger in a vehicle that rear-ended another vehicle. There was no airbag deployment, and the patient believes she struck her face on the windshield. At the outside facility, it was determined that she had a cervical fracture and facial fractures. Upon arrival at your facility, she is complaining of bilateral hip pain as well. Her medical history is significant for coronary artery disease, several myocardial infarctions, hypertension, and stroke. She has a pacemaker. Six months ago, she had an open reduction internal fixation of her left hip for a fracture she sustained in a fall. Primary survey reveals a female who is uncomfortable but alert and oriented. Vital signs are normal. She has some facial swelling and bruising. Her heart and lungs are clear; abdomen is benign. She is able to move her upper extremities with-out any problems. She has limited movement of her lower extremities due to pain in her pelvis. She is able to move both feet and toes, and distal pulses and sensation are intact. No obvious leg shortening is noted. A portable radiograph of the pelvis is obtained. What is your impression?


 

ANSWER
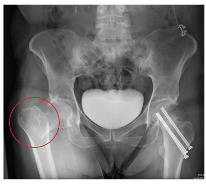
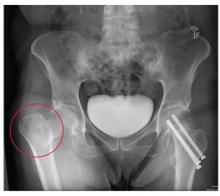
The radiograph demonstrates evidence of contrast material within the bladder. There is evidence of fixation of an old subcapital femoral neck fracture on the left.

There is an acute, mildly displaced right intertrochanteric fracture of the right hip. The orthopedic service was consulted, and plans were established to subsequently fix this fracture surgically.

Recommended Reading

Pregnant Woman, 39, With Hypertension and New-Onset Proteinuria
Clinician Reviews
Man, 57, With Dyspnea After Chiropractic Manipulation
Clinician Reviews
Girl, 13, With a Bump on Her Leg
Clinician Reviews
Foot Pain Following a Car Crash
Clinician Reviews
Cough and Back Pain in a Man With COPD
Clinician Reviews
Hand Slammed in Door
Clinician Reviews
Unresponsive Woman Extricated From Car
Clinician Reviews
Child hit by car
Clinician Reviews
Knee Pain After Falling Off Ladder
Clinician Reviews
Chest Wall and Knee Pain Following Motor Vehicle Collision
Clinician Reviews