Radiology Review

Chest Wall and Knee Pain Following Motor Vehicle Collision

Author and Disclosure Information


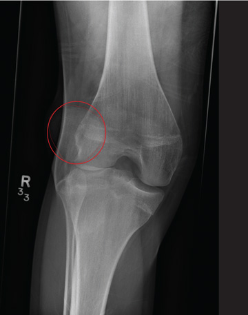
A 20-year-old man presents following a motor vehicle collision in which the car he was driving was broadsided by another vehicle. His air bag deployed, and the patient is now complaining of right-sided chest wall pain and right knee pain. His medical history is unremarkable. In a primary survey, the patient appears stable, with normal vital signs. Inspection of his right knee shows some deformity of the joint, with mild swelling and moderate tenderness. The patient is unable to perform flexion with his right knee. Good distal pulses are present, and sensation is intact. Radiograph of the right knee is obtained. What is your impression?


 

ANSWER

The radiograph demonstrates lateral dislocation of the patella, with no evidence of an acute fracture of any surrounding bones. The patella was easily reduced in the emergency department, and the patient was placed in a knee immobilizer. Orthopedic consultation was obtained.

Recommended Reading

Grand Rounds: Man, 65, With Heart Failure Symptoms
Clinician Reviews
Grand Rounds: Woman, 38, With Pulseless Electrical Activity
Clinician Reviews
Man, 56, With Wrist Pain After a Fall
Clinician Reviews
Is Chest Pain Related to Prior Fracture?
Clinician Reviews
Man with Consistent Headaches
Clinician Reviews
Wrist Pain After a Fall
Clinician Reviews
Elderly Woman with Shoulder Pain
Clinician Reviews
Elderly Man Failed To Mention Hip Pain After Fall
Clinician Reviews
Severe Pain Following Car Crash
Clinician Reviews
Woman With Back Pain Unable To Walk
Clinician Reviews