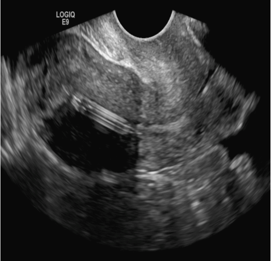
A) Mirena or Liletta (52 mg LNG-IUD) CORRECT
Mirena (Bayer) and Liletta (Allergan) are progestin-releasing intrauterine devices (IUDs) of similar size and shape. On ultrasonography, both the arms and the distal tip are echogenic. The progestin-containing plastic sleeve surrounding the stem in the middle demonstrates a laminated acoustic shadowing with distinctive parallel lines.1–4

(A) Transvaginal pelvic ultrasound demonstrates a well-positioned (fundally positioned) Mirena or Liletta levonorgestrel (LNG) IUD. Note the laminated appearance of the stem (short arrow). (B) Illustration of Mirena IUD with the plastic sleeve surrounding the stem (long arrow) corresponds to the laminated appearance on ultrasound.
B) Small-framed LNG-IUDs: Skyla (13.5 mg) or Kyleena (19.5 mg) INCORRECT
Skyla (Bayer) and Kyleena (Bayer) are small-framed LNG-IUDs. The ultrasound appearance of Skyla (LNG 13.5 mg) is similar to that of Mirena but has a markedly echogenic silver ring superiorly just below the crossbar, best seen with 2D (sagittal) views but also imaged with 3D ultrasound.1,2,5
The Kyleena device (LNG 19.5 mg) uses the same smaller T-shaped frame and metal ring, but the plastic sleeve is longer to accommodate the greater quantity of progestin.6
C) Paragard (intrauterine copper contraceptive) INCORRECT
Paragard (Teva Women’s Health) is a nonhormonal IUD containing copper wire wrapped around its stem and solid copper bands on each crossbar. On ultrasonography, the stem is uniformly and markedly echogenic due to the copper wire.1,2,7

(A) Transvaginal ultrasound of the uterus demonstrates a uniformly and markedly echogenic stem seen in its entirety (short arrow). (B) 3D surface-rendered ultrasound of the uterus shows the solid copper bands on the crossbars (arrowhead). (C) Illustration of the Paragard IUD with the copper wire in the stem (long arrow) and solid copper bands on the crossbars (arrow heads).




