(A) Simple ovarian cyst INCORRECT
Here is an example of a well circumscribed round or oval anechoic, avascular simple ovarian cyst with posterior acoustic enhancement and thin smooth walls.1 No septations or solid components are identified.
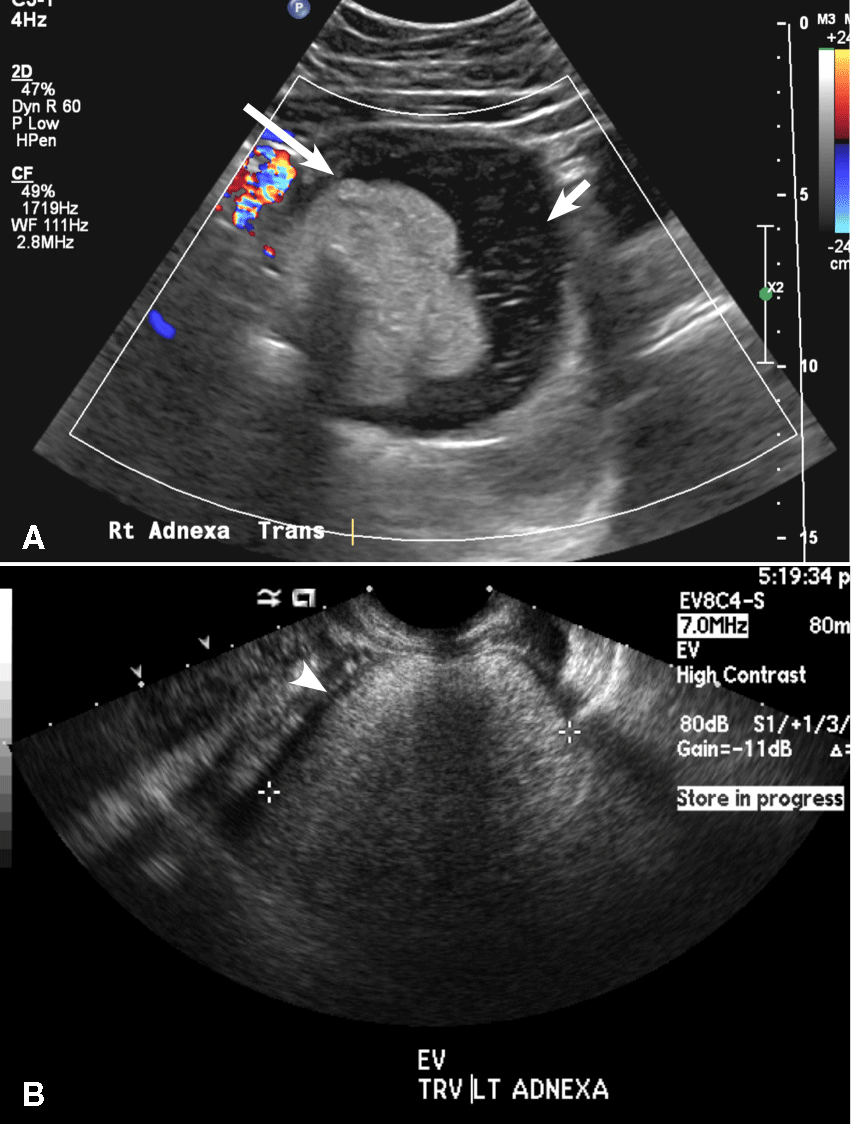
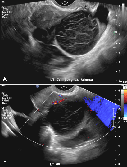
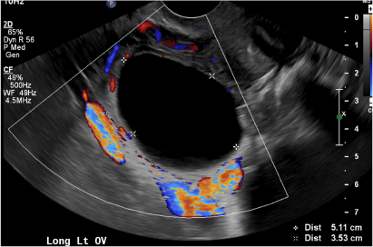
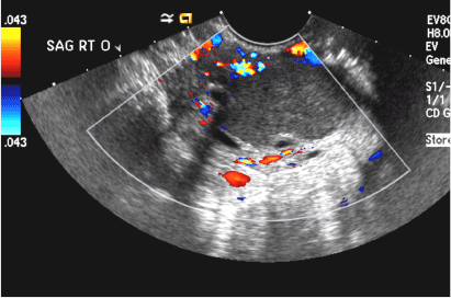
(B) Hemorrhagic cyst CORRECT
This type of cyst is well circumscribed and hypoechoic, with posterior acoustic enhancement and demonstrates a lacy reticular pattern of internal echoes due to fibrin strands (long arrow). The internal echoes also may be solid appearing with concave margins (short arrow) due to retractile hemorrhagic clot.1 The absence of internal vascular flow on color Doppler helps differentiate it from the solid components seen in ovarian neoplasm.

Hemorrhagic cysts. (A) Transvaginal pelvic ultrasound of the left ovary demonstrates a well-circumscribed hypoechoic cyst with posterior acoustic enhancement and demonstrates a lacy reticular pattern of internal echoes (long arrow). (B) Transvaginal pelvic ultrasound of the right ovary demonstrates a well-circumscribed hypoechoic cyst with solid appearing retractile hemorrhagic clot with concave margins (short arrow) and no vascular flow on color Doppler.
(C) Endometrioma INCORRECT
This mass is a well-circumscribed hypoechoic cyst with homogeneous ground glass or low level echoes and increased through transmission.1 It is also avascular without solid components.
(D) Dermoid INCORRECT
This common benign ovarian tumor has varying appearances. The most common appearance is a cystic lesion with a focal echogenic nodule (long arrow) protruding into the cyst (Rokitansky nodule).2 The second most common appearance is a focal or diffuse hyperechoic mass with areas of acoustic shadowing (arrowhead) from the sebaceous material and hair (tip of the iceberg sign). A third common appearance is a cystic lesion with multiple thin echogenic bands (lines and dots), which are hair floating within the cyst (short arrow). There is no internal vascular flow identified.

Dermoid cysts. (A) Transvaginal pelvic ultrasound of the right adnexa demonstrates a cystic lesion with a focal echogenic nodule protruding into the cyst compatible with a Rokitansky nodule (long arrow). Also seen are multiple thin echogenic lines and dots (short arrow). (B) Transvaginal pelvic ultrasound of the left adnexa shows a diffuse hyperechoic mass with areas of acoustic shadowing (arrowhead) from the sebaceous material and hair (tip of the iceberg sign).
(E) Cystic ovarian neoplasm INCORRECT
These are large complex masses with both cystic and solid components demonstrating internal vascular flow. They usually demonstrate a thick irregular wall, multiple septations, and nodular papillary projections.3






