Photo Rounds

Twisted ankle

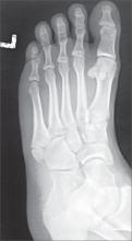
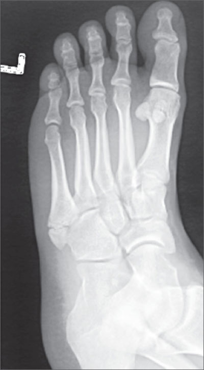
A 37-year-old man went to see his family physician (FP) after twisting his ankle the day before while playing basketball with his teenagers. The patient felt a pop and experienced immediate pain. On examination, he had tenderness over the base of his fifth metatarsal. The FP ordered an x-ray.

What's your diagnosis?


 

The x-ray revealed that the patient had a nondisplaced fracture at the base of the fifth metatarsal (also known as a dancer’s fracture). Most metatarsal fractures involve the fifth metatarsal and include avulsion fractures at the base, as seen in this patient. Fractures of the first through fourth metatarsals are less common. Diagnosis is based on the mechanism of injury/type of overuse activity and the radiographic appearance.

Treatment depends on the type of fracture. Most metatarsal fractures at the base have a good prognosis; however Jones fractures—an acute diaphyseal fracture of the fifth metatarsal—have a high rate of non-union.

In this case, the physician prescribed a walking boot with ambulation for 4 weeks. If the avulsion fracture had been displaced, however, the patient would have been referred to an orthopedist.

Photos and text for Photo Rounds Friday courtesy of Richard P. Usatine, MD. This case was adapted from: Chumley H. Metatarsal fracture. In: Usatine R, Smith M, Mayeaux EJ, et al, eds. Color Atlas of Family Medicine. 2nd ed. New York, NY: McGraw-Hill; 2013:611-614.

To learn more about the Color Atlas of Family Medicine, see: www.amazon.com/Color-Family-Medicine-Richard-Usatine/dp/0071769641/

You can now get the second edition of the Color Atlas of Family Medicine as an app by clicking on this link: usatinemedia.com

Recommended Reading

Steroids for sciatica
MDedge Family Medicine
Pharmacogenomics for pain meds promising but not ready
MDedge Family Medicine
ICOO: Opioid prescribing program yields broad benefits
MDedge Family Medicine
ICOO: Nonspecialist comfort with opioids remains low
MDedge Family Medicine
ICOO: Quality metrics needed for medical marijuana
MDedge Family Medicine
New strategy tackles pain in refractory patients
MDedge Family Medicine
ICOO: Opioids blurring criminal activity and malpractice
MDedge Family Medicine
Arthroscopic knee surgery offers no lasting pain benefit
MDedge Family Medicine
NIH panel identifies ME/CFS research gaps, priorities
MDedge Family Medicine
IHC: Lifestyle regularity helps quell migraine
MDedge Family Medicine