News

Algorithm May Help Cut PML Risk With Natalizumab


 

FROM THE NEW ENGLAND JOURNAL OF MEDICINE

The risk of developing progressive multifocal leukoencephalopathy from natalizumab therapy appears to be greater than previously thought, being greatest in multiple sclerosis patients with certain risk factors, according to an updated analysis.

The analysis provides an algorithm that might help clinicians hone in on which patients are least or most likely to develop PML, and give them support in discussing risks and benefits, said Dr. Gary Bloomgren and his coauthors, all of whom work for Biogen Idec, which makes natalizumab (Tysabri).

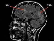
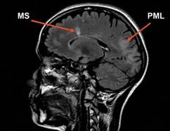
Courtesy Biogen Idec

Sagittal FLAIR (Fluid Attenuated Inversion Recovery) MR image of a patient with MS and PML.

The algorithm took into account anti-JC virus antibody status; whether there was prior use of immunosuppressants; and duration of treatment. Positive anti-JC status, prior immunosuppressant use and longer treatment all have been previously identified as PML risk factors. But there has not been a physician-friendly way to stratify risk.

PML is an opportunistic brain infection caused by the JC virus. Previous estimates had put the incidence at about 1 case per 1,000. In April 2011, the Food and Drug Administration reported that 102 cases of PML had been reported among 82,732 patients treated with natalizumab worldwide.

But now that risk is 2.1 per 1,000, given that there have been 212 confirmed cases of PML among the 99,571 patients worldwide who have been treated with natalizumab, Dr. Bloomgren and his colleagues reported May 16 in the New England Journal of Medicine.

The incidence of PML rises to as much as 11.1 per 1,000 in multiple sclerosis patients who are positive for anti-JC virus antibodies, who have taken immunosuppressants before starting natalizumab, and who have taken the drug for 25-48 months.

Although this is a longer period of follow-up than has been reported previously, there were not enough data to calculate the risk beyond 4 years of treatment.

In January of this year, the FDA warned that anti–JC virus–positive status was associated with an increased risk, in addition to the other known risk factors for PML. The agency also estimated the incidence of PML for patients with those risk factors at 11.1 per 1,000.

Dr. Gary Bloomgren

Dr. Bloomgren and his associates based their calculations on data from Biogen Idec’s safety database, from clinical trials such as the Tysabri Global Observational Program in Safety study (TYGRIS-U.S. and TYGRIS–Rest of World) and from AFFIRM and STRATIFY-1. Data from an independent Swedish registry of patients with multiple sclerosis were also used (N. Engl. J. Med. 2012;366:1870-80).

The algorithm can help stratify risk and assist physicians in deciding whether to use natalizumab, the authors said. Avoiding PML is of great importance. The Biogen Idec researchers said that of the 212 confirmed PML cases, 46 of the patients had died, and that 23 of the 58 survivors for whom data was available had severe disability.

They noted that their risk estimates were limited by several factors, including the assumption that anti–JC-positive status was clearly associated with development of PML. This assumption was based on the fact that all 54 patients identified in the postmarketing setting had been anti–JC-positive before their PML diagnosis. But blood samples were not available for all patients with PML, and the anti-JC virus assay – which is now commercially available – has a small, but perceptible false negative rate.

In a commentary accompanying the study, Dr. Allan H. Ropper said that MS patients who test negative for anti-JC antibodies ostensibly can be reassured that it is safe to take natalizumab. But he noted that there are "basic limitations to serologic tests for JC virus, since there is no standard by which to judge the absence of the virus" (N. Engl. J. Med. 2012;366:1938-9).

Also, the seroprevalance of the virus increases with age, and patients can undergo seroconversion at any time, said Dr. Ropper, a neurologist at Brigham and Women’s Hospital, Boston. He urged retesting for any patients undergoing natalizumab therapy.

While it is not entirely clear why natalizumab is associated with PML, it appears that it may reactivate the JC virus and that it might possibly cause the emergence of a mutation in the virus that leads to the emergency of PML.

Dr. Ropper disclosed no financial conflicts, but reported that he is the associate editor of the New England Journal of Medicine.

Registry to Track PML Scheduled for Fall

With the incidence of progressive multifocal leukoencephalopathy on the rise, the National Institute of Neurological Disorders and Stroke plans to have a registry for the condition up and running by this fall.

Pages

Recommended Reading

Slowed Infusions Cut Hypersensitivity Reactions in Rituximab Desensitization
MDedge Neurology
Initiate Interferon Beta-1a Early to Delay Progression to MS
MDedge Neurology
Fingolimod Label Advises ECG Monitoring at First Dose
MDedge Neurology
Vitamin D Levels Correspond to Disability in MS
MDedge Neurology
FDA Warns of 'Liberation Therapy' Dangers for Multiple Sclerosis
MDedge Neurology
New and Noteworthy Information
MDedge Neurology
Comorbid Migraine and Multiple Sclerosis Can Pose Challenges for Neurologists
MDedge Neurology
Low Level of Vitamin D Is a Risk Factor for Multiple Sclerosis
MDedge Neurology
New and Noteworthy Information—May
MDedge Neurology
Society of Interventional Radiology, 37th Annual Meeting, San Francisco
MDedge Neurology