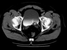
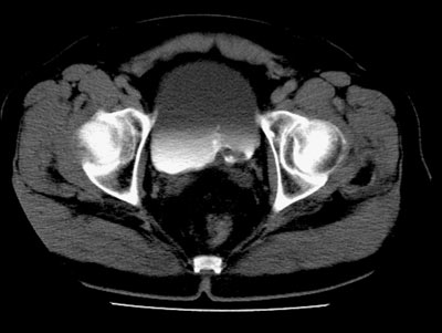
The patient was referred to Urology and a cystoscopy showed a bladder tumor; complete endoscopic resection confirmed transitional cell carcinoma (TCC).
TCC is the most common type of bladder cancer. Risk factors include smoking (odds ratio increased 3- to 4-fold; 50% attributable risk), exposure to pelvic radiation, and chronic infection, including Schistosoma haematobium and genitourinary tuberculosis. Certain occupations have been linked to an increased risk, including those in which workers are exposed to metals (eg, aluminum), paint and solvents, polycyclic aromatic hydrocarbons, diesel engine emissions, and aniline dyes.
A metastatic workup for TCC includes a complete blood count, blood chemistry tests (including alkaline phosphatase tests), liver function tests, and a CT or magnetic resonance imaging (MRI) scan of the chest and abdomen. A bone scan is indicated in patients with bone pain and/or elevated levels of serum alkaline phosphatase.
In this case, the patient had a low-grade tumor and no evidence of metastasis. Thus, he was treated with resection alone and close follow-up by Urology.
Photo courtesy of Michael Freckleton, MD, and text courtesy of Richard P. Usatine, MD. This case was adapted from: Smith, M. Bladder cancer. In: Usatine R, Smith M, Mayeaux EJ, et al, eds. Color Atlas of Family Medicine. 2nd ed. New York, NY: McGraw-Hill; 2013:448-452.
To learn more about the Color Atlas of Family Medicine, see: http://www.amazon.com/Color-Family-Medicine-Richard-Usatine/dp/0071769641/
You can now get the second edition of the Color Atlas of Family Medicine as an app by clicking this link: http://usatinemedia.com/

