Case Reports

Cutaneous Nocardiosis in an Immunocompromised Patient

Author and Disclosure Information

We describe a case of a 79-year-old man with chronic lymphocytic leukemia (CLL) who presented with ataxia; falls; vision loss; and numerous mobile erythematous nodules on the chin, neck, scalp, and trunk. Computed tomography of the head and chest revealed cavitary lesions in the brain and lungs. Clinically, the skin nodules were believed to represent an infectious process. Two punch biopsies were obtained, which revealed an unremarkable epidermis with a mixed inflammatory infiltrate with abscess formation in the dermis. Gram stain highlighted gram-positive branching bacterial organisms. Similar organisms were identified in a bronchoalveolar lavage specimen. Cultures from skin and blood were positive for Nocardia. Our case serves as a reminder to clinicians and pathologists to keep a broad differential diagnosis when dealing with infectious diseases in immunocompromised patients.

Practice Points

  • Clinicians should consider a broad differential when dealing with infectious diseases in immunocompromised patients.
  • Primary cutaneous nocardiosis classically presents as tumors or nodules with a sporotrichoid pattern along the lymphatics. Vesiculopustules and abscesses are seen in disseminated disease, which usually involves the skin, lungs, and/or central nervous system.
  • Nocardia species are characteristically gram-positive, thin rods that form beaded, right-angle branching filaments.
  • When nocardiosis is in the differential, special care should be taken, as organisms can be gram variable or only partially acid fast. Gram, Grocott-Gomori methenamine-silver, and acid-fast staining may be essential to making the diagnosis.


 

References

Case Report

A 79-year-old man with chronic lymphocytic leukemia (CLL) who was being treated with ibrutinib presented to the emergency department with a dry cough, ataxia and falls, and vision loss. Physical examination was remarkable for diffuse crackles heard throughout the right lung and bilateral lower extremity weakness. Additionally, he had 4 pink mobile nodules on the left side of the forehead, right side of the chin, left submental area, and left postauricular scalp, which arose approximately 2 weeks prior to presentation. The left postauricular lesion had been tender at times and had developed a crust. The cutaneous lesions were all smaller than 2 cm.

The patient had a history of squamous cell carcinoma of the skin and was under the care of a dermatologist as an outpatient. His dermatologist had described him as an active gardener; he was noted to have healing abrasions on the forearms due to gardening raspberry bushes.

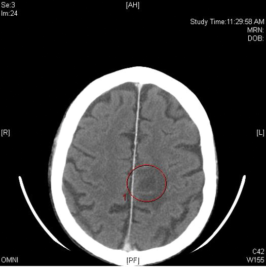
Computed tomography of the head revealed a 14-mm, ring-enhancing lesion in the left paramedian posterior frontal lobe with surrounding white matter vasogenic edema (Figure 1). Computed tomography of the chest revealed a peripheral mass on the right upper lobe measuring 6.3 cm at its greatest dimension (Figure 2).

Figure 1. Computed tomography of the head showed a 14-mm, ring-enhancing lesion in the left paramedian posterior frontal lobe with surrounding white matter vasogenic edema (red circle).

Figure 2. Computed tomography of the chest showed a right upper lobe peripheral mass measuring 6.3 cm at its greatest dimension.


Empiric antibiotic therapy with vancomycin and piperacillin-tazobactam was initiated. A dermatology consultation was placed by the hospitalist service; the consulting dermatologist noted that the patient had subepidermal nodules on the anterior thigh and abdomen, of which the patient had not been aware.

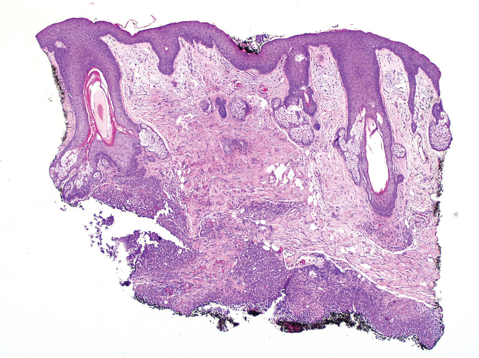
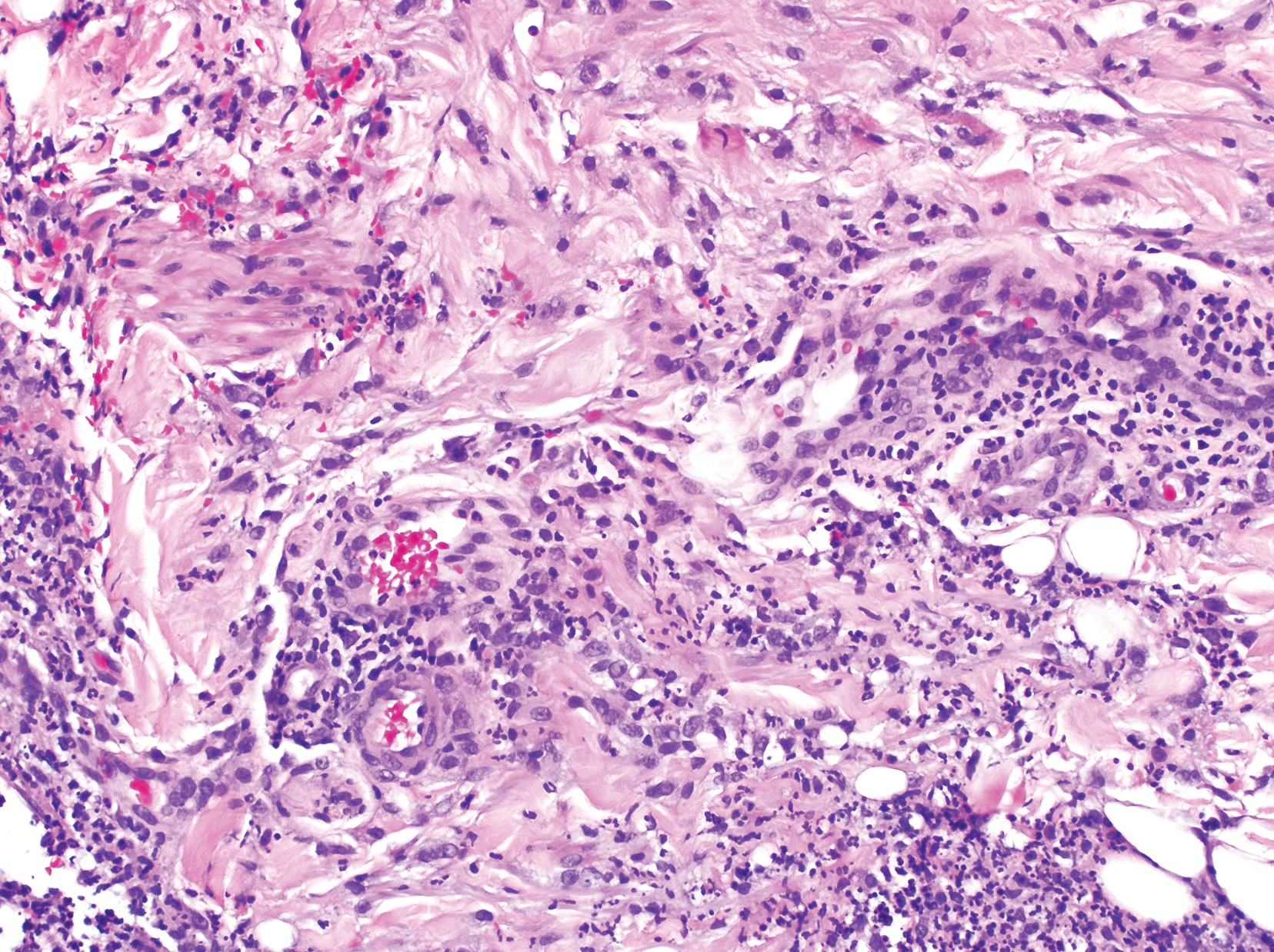
Clinically, the constellation of symptoms was thought to represent an infectious process or less likely metastatic malignancy. Biopsies of the nodule on the right side of the chin were performed and sent for culture and histologic examination. Sections from the anterior right chin showed compact orthokeratosis overlying a slightly spongiotic epidermis (Figure 3). Within the deep dermis, there was a dense mixed inflammatory infiltrate comprising predominantly neutrophils, with occasional eosinophils, lymphocytes, and histiocytes (Figure 4).

Figure 3. Histopathology revealed compact orthokeratosis overlying a slightly spongiotic epidermis with a mixed inflammatory infiltrate (H&E, original magnification ×4).


Figure 4. Histopathology revealed a mixed inflammatory infiltrate comprising predominantly neutrophils, with occasional eosinophils, lymphocytes, and histiocytes seen in the deep dermis (H&E, original magnification ×20)

Pages

Recommended Reading

Cephalosporins remain empiric therapy for skin infections in pediatric AD
MDedge Dermatology
Measles outbreak in New York City has ended
MDedge Dermatology
Post-Ebola mortality five times higher than general population
MDedge Dermatology
What’s Eating You? Cat Flea (Ctenocephalides felis) Revisited
MDedge Dermatology
Measles cases continue to decline
MDedge Dermatology
Pneumonia with tender, dry, crusted lips
MDedge Dermatology
Mycobacterium haemophilum: A Challenging Treatment Dilemma in an Immunocompromised Patient
MDedge Dermatology
Does this patient have bacterial conjunctivitis?
MDedge Dermatology
What Neglected Tropical Diseases Teach Us About Stigma
MDedge Dermatology
What’s Eating You? The South African Fattail Scorpion Revisited
MDedge Dermatology