Radiology Review

Elderly Woman with Shoulder Pain

Author and Disclosure Information


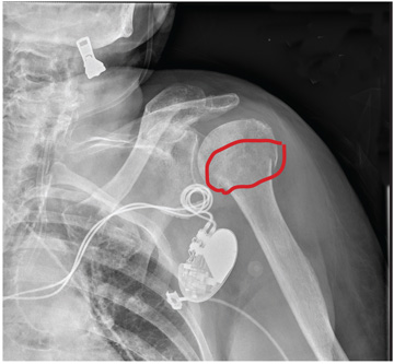
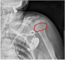
A 90-year-old woman is transferred to your facility from an outside hospital for evaluation of an intracranial hemorrhage secondary to a fall. The patient normally resides in a nursing home and has dementia. She was reportedly ambulating with her walker when she tripped and fell forward. In addition to dementia, her medical history is significant for sick sinus syndrome, for which she has a pacemaker. She also has hypertension and degenerative joint disease. Examination reveals an elderly female who is alert but very confused. Her vital signs are normal. She has moderate swelling and bruising on the left side of her forehead and left orbit. Her pupils react well. As you examine her, you note her unwillingness to use or move her left arm. When you inquire, she states, “It hurts.” Close examination of the left upper extremity shows no obvious deformity or swelling. She does have some tenderness over the left shoulder. You order a radiograph of the left shoulder (shown). What is your impression?


 

ANSWER
The radiograph demonstrates significant osteopenia. In addition, there is a slightly impacted subcapital fracture of the humeral neck.

Orthopedics was consulted, and the patient was to be treated with nonoperative management. She was given a swathe for immobilization and comfort.

Recommended Reading

Grand Rounds: Man, 61, With Painful Oral Ulcerations
Clinician Reviews
Grand Rounds: Man, 30, With Traumatic Finger Amputations
Clinician Reviews
Grand Rounds: Man, 62, With New-Onset Atrial Fibrillation
Clinician Reviews
Grand Rounds: Man, 65, With Heart Failure Symptoms
Clinician Reviews
Elderly Man Failed To Mention Hip Pain After Fall
Clinician Reviews
Severe Pain Following Car Crash
Clinician Reviews
Woman With Back Pain Unable To Walk
Clinician Reviews
Woman with Malaise, Cough, and Shoulder Pain
Clinician Reviews
Man Fell Off Roof
Clinician Reviews
Woman with Abdominal Pain Following Severe Car Crash
Clinician Reviews