Radiology Review

When Trauma Changes the Picture

Author and Disclosure Information

When trauma changes the picture

What is your impression?


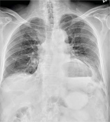
A 75-year-old man is brought to your emergency center following a fall from his attic. He slipped and fell approximately 10 feet, landing on his left side. He did not hit his head and denies any loss of consciousness. His primary complaint is left-side chest wall pain. Medical history is significant for hypertension, diabetes, reflux, and atrial fibrillation. On primary survey, you note an elderly male who is somewhat uncomfortable but in no obvious distress. His vital signs are stable; O2 saturation is 98% on room air. The patient exhibits moderate tenderness along the anterior lateral aspect of his chest, as well as mild generalized tenderness in his abdomen. Good inspiratory effort is limited secondary to his pain. While you enter orders into the computer, a portable chest radiograph is obtained. What is your impression?


 

References

Answer
The radiograph has several findings. First, there are multiple fractures along the left lateral ribs. Second, there is a small left apical pneumothorax. Most significant, though, is an elevated left hemidiaphragm. There appears to be stomach or possibly bowel protruding into it.

Although a large hiatal hernia could yield similar findings, in the setting of trauma, one must be concerned about a traumatic diaphragmatic hernia. Subsequent CT of the chest, abdomen, and pelvis confirmed a defect within the diaphragm, with a significant portion of the stomach herniating into the left chest.

Surgical consultation was obtained. The patient was admitted and ultimately underwent surgical intervention to repair the problem.

Recommended Reading

Oh, Deer! Accident Leaves Man in Pain
Clinician Reviews
What’s Wrong With This Picture?
Clinician Reviews
Case Studies in Toxicology: One Last Kick—Transverse Myelitis After an Overdose of Heroin via Insufflation
Clinician Reviews
Revenge of the Deer Stand
Clinician Reviews
Secondary Survey of Trauma Patient
Clinician Reviews
Case Studies in Toxicology: The Perilous Pursuit of Perfection
Clinician Reviews
Patient Has No Complaints, But Family Is Concerned
Clinician Reviews
Ladder Becomes Stairway to Urgent Care
Clinician Reviews
Case Studies In Toxicology: Withdrawal: Another Danger of Diversion
Clinician Reviews
Shortness of Breath and Loss of Appetite
Clinician Reviews

Related Articles